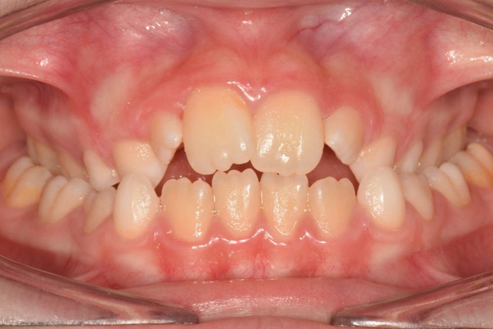
Il Morso Crociato
Il morso crociato o cross-bite è una delle condizioni cliniche che richiede correzione urgente (entro gli 8 anni e, se il bimbo è collaborante, anche prima dei 6 anni).
Infatti l’incastro scorretto della dentatura induce uno spostamento della mandibola inferiore condizionandone quindi la crescita, che sarà anch’essa deviata/storta.
Il rapporto tra le arcate diventerà non più correggibile dopo la pubertà se non mediante tecniche chirurgiche.
Il cross-bite in età infantile può essere corretto rapidamente e definitivamente con un apparecchio fisso chiamato disgiuntore o espansore palatale in 1 solo mese di terapia attiva, ottenendo un allargamento indolore ma stabile del palato che, oltre a correggere la deviazione ossea, aumenta lo spazio disponibile per i denti che devono ancora scendere.
Se invece si tarda a correggere questa importante malocclusione, sarà molto difficile ottenere dei risultati accettabili dopo la fine della crescita e il cambio della dentatura













